L’implantologia moderna è impegnata sul fronte di interventi rapidi e poco invasivi.
Se è vero che l’implantologia ha fatto negli ultimi anni veri e propri passi da gigante è anche vero che oggi tutti i nostri medici chirurghi dentisti preferiscono attuare pratiche tempestive ma soprattutto poco invasive.
Allo stesso modo la pensano gli studi dentistici specializzati che preferiscono adottare sui loro pazienti delle terapie rapide e veloci anche quando c’è mancanza di osso.
Lo specialista, predilige non ricorrere ai protocolli chirurgici laddove è possibile attuare strategie alternative.
‘Rialzo del seno mascellare ed innesti ossei’ possono essere effettuati anche attraverso altre metodiche piuttosto che usufruire di laboriosi interventi che stressano i pazienti ed anch’essi, li preferiscono a rigenerazioni invasive troppo complicate. Tra queste strategie è molto utilizzata quella degli impianti inclinati.
In cosa consiste il posizionamento degli impianti inclinati.

Abbiamo abbondantemente visto che esistono tattiche tempestive per risolvere la mancanza di tessuto osseo per poter posizionare un impianto.
La metodologia dell’impianto dentale inclinato oltrepassa ampiamente i limiti che quotidianamente ci si impone nelle regole lavorative odontoiatriche.
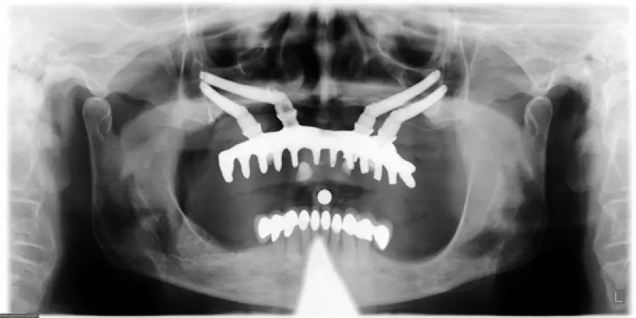
Quando si tratta di ‘posizionamento nel mascellare superiore’ l’impianto viene messo in modo da evitare il ‘recesso mesiale del seno mascellare’ stesso.
Se invece si tratta del ‘posizionamento nel mascellare inferiore’ l’impianto viene ubicato in maniera tale che si evita ‘l’emergenza del nervo alveolare inferiore’.
Gli impianti inclinati offrono una grande attendibilità ed efficienza poiché sono ancorati in modo così ottimale in quel che rimane dell’osso mascellare, che una volta posizionate le protesi, il carico immediato avviene simultaneamente.
Tutto questo, non sarebbe possibile se si attuasse il protocollo chirurgico dei tradizionali interventi di ‘rigenerazione ed innesto osseo’.
Questa tecnica sta riscuotendo notevole successo poiché mette in evidenza prerogative abbastanza interessanti su quella che è la ‘riabilitazione immediata di edentulie complete sia in mascella che in mandibola’
